Why Is Magnetic Resonance Imaging Of The Brain Important For Early Diagnosis?

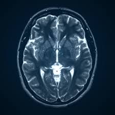
Magnetic Resonance Imaging (MRI) of the brain is a powerful diagnostic tool that helps doctors detect neurological conditions at an early stage. It provides highly detailed images of brain tissues, nerves, and blood vessels, allowing specialists to identify issues such as tumors, stroke, multiple sclerosis, or inflammation before symptoms become severe. Early diagnosis through brain MRI can help guide timely treatment and improve health outcomes. At Marris Medical UK, advanced imaging technology ensures accurate and reliable results. If you need a professional brain scan, contact Marris Medical UK today at +44 203 011 1788 to schedule your appointment.
London, Health, Why Is Magnetic Resonance Imaging Of The Brain Important For Early Diagnosis?
Back Next