Invisalign In Dublin For Clear & Comfortable Teeth Straightening | Dublin Metro Dental

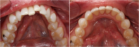
Achieve a straighter smile with Invisalign in Dublin at Dublin Metro Dental. Our clear aligners offer a discreet and comfortable alternative to traditional braces, helping you align your teeth without metal wires. Enjoy personalized treatment, improved confidence, and effective results designed to fit your lifestyle.
https://www.dublinmetrodent ...

Dublin, Dental, Invisalign In Dublin For Clear & Comfortable Teeth Straightening | Dublin Metro Dental
Back Next