Need A Magnetic Resonance Imaging Of The Brain? Is Marris Medical UK Right For You?

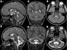
Need a Magnetic Resonance Imaging of the Brain? Marris Medical UK offers advanced MRI scans with precise imaging, fast appointments, and expert clinical support to help diagnose neurological conditions with confidence. Our team focuses on accuracy, patient comfort, and clear reporting, ensuring you get the answers you need without unnecessary delays, so if you’re considering a brain MRI, call +44 203 011 1788 today to book your scan with Marris Medical UK and take the next step toward clarity and care.
London, Health, Need A Magnetic Resonance Imaging Of The Brain? Is Marris Medical UK Right For You?
Back Next